惊!“腿中风”突发,老人命悬一线
“大夫,快看看我的腿,又凉又疼,动不了了!”近日,在应急总医院血管外科门诊,一位神色焦急的患者家属推着轮椅上的张先生(化名)匆匆赶来。65 岁的张先生有脑梗死既往史,身体本就不太硬朗,这次左腿突然“刀割”般疼痛,紧接着整条腿冰凉、苍白,疼痛不断加剧,家属不敢耽搁,火速将他送到医院。
接诊后,血管外科团队迅速查体,发现张先生患肢皮温极低,足背、胫后、腘动脉搏动消失,这是典型的肢体动脉缺血症状。下肢血管超声检查进一步证实:左侧股浅动脉及其远端完全闭塞,也就是俗称的 “腿中风”。这就如同脑血管堵塞会引发脑梗一样,下肢主干血管被血栓堵死,血流中断,肢体组织会因缺血坏死。对于张先生来说,保腿 急诊手术刻不容缓,一旦下肢缺血坏死后组织释放毒素,生命随时受到威胁,时间就是生命,也是保肢的关键!紧急汇报医务处,开启绿色通道,在院领导的协调下,血管外科团队对该患者进行了急诊手术。
赞!两步妙招,打通生命“河道”
考虑到张先生有脑梗死病史,血管条件复杂、耐受性差,单一手术方式难以奏效。血管外科团队迅速展开病例讨论,制定了“急诊手术开通 + 置管溶栓 + 二期修复”的精细化治疗方案。


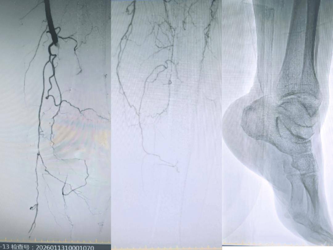
第一阶段是急诊手术,应用减容装置抽出堵塞血管的斑块和血栓,然后再置管溶栓。首先在导管室医护人员配合下,血管外科张君主任在谷涌泉教授的指导下利用微创技术,开通闭塞的股浅动脉、腘动脉、胫前动脉、胫后动脉及足底动脉弓,然后应用动脉减容装置“血管盾构机”进行闭塞血管内减容,最后植入溶栓导管把残留的血栓进行溶栓治疗。
第二阶段是二期手术、彻底通畅。三天后经过留置溶栓导管的持续溶栓治疗,陈旧性血栓被溶解,但血管仍有严重残余狭窄。血管外科团队抓住时机,球囊扩张、无支架技术等微创手段多管齐下,细致处理病变血管,最后造影结果满意。

喜!血流畅通,老人重获“生机”
经过两次手术及术后精心护理,复查彩超显示,张先生闭塞的左侧下肢动脉血管完全再通,血流恢复通畅。看着老人的腿从冰冷苍白变得红润有温度,剧痛消失,家属握着医生的手连声道谢:“太感谢你们了!要是没有你们,这条腿恐怕就保不住了!”如今,张先生已康复出院,不仅保住了肢体,更保住了晚年生活质量。为表达感激之情,张先生和家属专门为血管外科团队送了一面锦旗:“仁心妙手救危疾,医德高尚暖人心”。

应急总医院血管外科专家提醒,急性下肢动脉闭塞病情凶险、进展迅速,房颤、高血压、糖尿病患者及有脑梗死病史的中老年人是高危人群。
一旦发现肢体出现“5P”症状,请立即前往具备血管外科救治能力的医院就诊,切勿拖延!
Pain(疼痛):突发剧烈肢体疼痛,难以忍受。
Pallor(苍白): 肢体皮肤呈苍白色或蜡黄色。
Pulselessness(无脉): 患侧足背或胫后动脉搏动消失。Paresthesia(感觉异常):肢体出现麻木、针刺感或感觉迟钝。
Paralysis(麻痹):肢体活动受限,出现无力甚至瘫痪。
守护血管健康,应急总医院血管外科时刻为您护航!
来源:血管外科
作者:段少秋
审核:医务处
编辑:融媒体中心